ترمیم دندان شکسته در کرج

ترمیم دندان شکسته در کرج یکی از رایج ترین اورژانس های دندان‌پزشکی است. که یک لب پریدگی جزئی از دندان می تواند باعث آسیب به عصب دندان شود. ترمیم یک دندان شکسته هم جنبه زیبایی دارد هم جنبه  جلوگیری از عفونت و حفظ سلامت ساختار دهان و دندان. ترمیم دندان باعث افزایش طول عمر ان می شود و از احتمال شکستی های بعدی جلوگیری میکند.

ترمیم دندان شکسته در کرج

ترمیم دندان شکسته چیست؟

ترمیم دندان شکسته به فرآیندی گفته می شود که دندانپزشک قسمت یا ساختاری از دندان که در اثر ضربه، پوسیدگی عمیق، یا فشار بیش از حد آسیب دیده یا از بین رفته است، را بازسازی و جایگزین می‌کند. هدف اصلی از ترمیم دندان شکسته بازگشت عملکرد، حفظ سلامت  و زیبایی است.

    1. بازگشت عملکرد: بازگرداندن عملکرد دندان برای انجام عمل صحیح جوییدن و گاز گرفتن.
    2. حفظ سلامت: جلوگیری از نفوذ باکتری ها و عفونت های دردناک و بیشتر شدن هزینه های درمان
    3. زیبایی: بازیابی ظاهر طبیعی دندان و زیبایی لبخند شما

انواع روش های ترمیم دندان شکسته:

  • روش ترمیم دندان شکسته در کرج بر اساس شدت محل شکستگی و همچنین میزان درگیری عصب (پالپ) دندان انتخاب می شود.

    • باندینگ دندان Dental Bonding:

    کاربرد اصلی در این روش شکستگی های جزئی و لب پریدگی و ترمیم ترک های سطحی می باشد. روش کار به این صورت است که دندان پزشک برای اصلاح محل شکستگی یا ترک از ماده ای سفید (رزین کامپوزیت) استفاده می کند، سپس با نور مخصوص سفت می شود. مزایا این روش کم هزینه، مقرون به صرفه و موثر در زیبایی می باشد.

    • روکش دندان Dental Crown:

    هدف اصلی در روکش دندان اصلاح شکستگی های بزرگ برای دندان هایی که ساختار زیادی را از دست داده اند. یا دندان هایی که تحت درمان ریشه می باشند، روکش یک کلاهک سفارشی می باشد که شکل دندان را کامل می کند. این کار باعث تقویت دندان، محافظت دربرابر شکستگی افزایش می یابد.روکش، سطح جونده دندان را بازسازی می‌کند و به شما اجازه می‌دهد تا بدون درد یا نگرانی از آسیب بیشتر، غذا را به‌طور طبیعی بجویید.

    • ونیر یا لمینت Veneer:

    کاربرد این روش برای شکستی های دندان های جلویی است که تاثیر زیادی در زیبایی دارد پس ابتدا زیبایی در دندان های جلو الویت دارد. نحوه کار در این روش یک پوسته نازک و سفارشی از جنس پرسلن یا کامپوزیت روی سطح جلویی دندان شکسته چسبانده می‌شود تا ظاهر آن را به‌طور کامل پوشش دهد و اصلاح کند.

    • درمان ریشه Root Canal Therapy:

    این روش زمانی انجام می شود که شکستگی ها به حدی عمیق باشد که عصب دندان اسیب دیده باشد و در معرض عفونت باشد. ابتدا دندانپزشک یا متخصص ریشه (اندودنتیست) بافت عصبی آسیب‌دیده یا عفونی را خارج می‌کند، داخل کانال‌های ریشه را تمیز و ضدعفونی می‌کند و سپس آن را پر و مهر و موم می‌کند. توجه داشته باشید بعد از ترمیم دندان بسیار حساس می شود و همیشه باید تقویت شود.

    • کشیدن و یا جایگزینی دندان Extraction and Replacement:

    زمانی یک شکستگی به  مرز ریشه بسد و روش های ترمیمی دیگر قابل استفاده نباشد، دندان پزشک از این روش استفاده می شود. نحوه کار به این صورت است که دندان پزشک دندان را می کشد سپس برای جایگزینی آن، از روش‌هایی مانند ایمپلنت دندان استفاده کند

مراحل درمانی ترمیم دندان شکسته

  1. معاینه فیزیکی: دندان پزشک دندان اسیب دیده را با دقت بررسی کنید نوع شکستگی (افقی، عمودی، جزئی، یا عمیق) و میزان آسیب به بافت‌های اطراف (لثه) مشخص شود.
  2. تصویر برداری: گرفتن عکس‌های اشعه ایکس برای بررسی ساختارهای داخلی دندان، به‌ویژه ریشه و فضای عصب برای تعیین اینکه آیا شکستگی به زیر خط لثه گسترش یافته است یا خیر.
  3. تست حساسیت: در صورت نیاز تست حساسیت برای بررسی حیات ریشه انجام می شود.
  4. درمان: مرحله بعد انتخاب روش درست برای درمان است که توسط تشخیص دندان پزشک صورت می گیرد

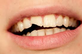
انواع شکستگی دندان

  • لب پریدگی جزئی در لبه دندان سطحی در لبه مینا دندان
  • شکستگی عمودی ترک از سطح جویدن شروع شده و به سمت خط لثه می‌رود. ممکن است حساسیت به دما ایجاد کند.
  • شکستگی مورب شکستن یک تکه از سطح جویدن دندان (کاسپ). اغلب در اطراف پرکردگی‌های قدیمی رخ می‌دهد.
  • شکستگی شدید شکستگی که مینا و عاج را شکافته و به عصب (پالپ) دندان رسیده است. با درد شدید همراه است
  •