فهرست مطالب

ترمیم دندان شیری کودک یکی از مهم ترین اقدامات در حفظ و نگهداری و سلامت دهان و دندان کودکان است . بسیاری از والدین تصور میکنند چون دندان های شیری موقتی میباشند نیازی به ترمیم و درمان ندارند ،در حالی که این باور کاملا اشتباه میباشد . دندان شیری نقش مهمی در تغذیه ،رشد فک ،تکلم و حفظ فضای دندان های دائمی دارند و عدم توجه به آنها میتواند مشکلات جدی در آینده به وجود آورد.

دندان شیری چیست و چه نقشی دارد ؟

دندان های شیری اولین دندان هایی هستند که از حدود 6 ماهگی تا 3 سالگی در دهان کودک رشد میکنند. این دندان ها علاوه بر کمک کردن به جوییدن ،نقش مهمی در تلفظ درست کلمات و هدایت دندان های دائمی به جایگاه صحیح خود دارند . پوسیدگی یا آسیب این دندان ها موجب میشود که دندان های دائمی درد و عفونت داشته باشند و همچنین باعث کج درآمدن دندان های دائمی میشود.

چه زمانی ترمیم دندان شیری کودک ضروری و لازم است ؟

  • پوسیدگی قبل مشاهده یا تغییر رنگ دندان
  • ایجاد حفره روی سطح دندان
  • شکایت کودک از درد دندان
  • بوی بد دهان ناشی از عفونت دندانی
  • شکستگی یا ترک خوردگی دندان

روش های ترمیم دندان شیری کودک

دندانپزشک کودکان با توجه به میزان آسیب ،یکی از روش های زیر را برای ترمیم دندان شیری انتخاب میکند.

  1. پرکردن دندان شیری :عمومی ترین روش ترمیم دندان شیری کودک ، پرکردن است.این رو قسمت پوسیده دندان برداشته میشود و با مواد همرنگ یا آمالگام مخصوص کودکان پر میشود.
  2. روکش دندان شیری : اگر پوسیدگی گسترده باشد ، از روکش های استیل یا همرنگ دندان استفاده میشود . این روش باعث افزایش دوام دندان تا زمان افتادن طبیعی آن میشود.
  3. درمان پالپ (عصب کشی کودک):در صورتی که پوسیدگی به عصب رسیده باشد ، درمان پالپ یا عصب کشی دندان شیری انجام میشود تا دندان حفظ شودو از کشیدن آن جلوگیری میگردد.
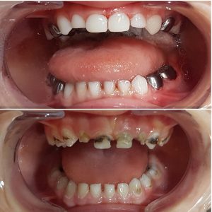
ترمیم دندان شیری کودک

آیا ترمیم دندان شیری درد دارد؟

یکی از نگرانی های رایج والدین دردناک بودن رمان است . خوشبختانه امروزه با استفاده از بیحسی های موضعی ابزارهای مخصوص کودکان ورفتار درمانی ، ترمیم دندان شیری کودک کاملا بدون درد و استرس و اضطراب انجام میگردد. حتی در مواردی خاص بیحسی تجویز میشود.

مزایای ترمیم دندان شیری کودک

  • حفظ فضای دندان های دائمی
  • جلوگیری از گسترش عفونت
  • کاهش هزینه های درمانی در آینده
  • جلوگیری از درد و ناراحتی کودک
  • بهبود تغذیه و رشد کودک 
ترمیم دندان شیری کودک

پیشگیری بهتر از درمان 

اگرچه ترمیم دندان شیری کودک اهمیت زیادی دارد ،اما پیشگیری همیشه بهترین گزینه است .رعایت نکات زیر میتواند احتمال پوسیدگی را کاهش دهد.

  • مراجعه منظم به دندانپزشک کودکان
  • محدود کردن مصرف شیرینی و نوشیدنی های قندی
  • مسواک زدن روزانه با خمیردندان مخصوص کودک
  • استفاده از فلوراید تراپی در صورت نیاز
ترمیم دندان شیری کودک

جمع بندی

ترمیم دندان شیری کودک نه تنها یک اقدام درمانی ،بلکه سرمایه گذاری برای سلامت آینده فرزند شماست.نادیده گرفتن پوسیدگی دندان های شیری میتواند مشکلات جدی برای دندان های دائمی ایجاد کند. با مراجعه به موقع به دندانپزشک اطفال در کرج و رعایت بهداشت دهان ، میتوانید لبخندی سالم و زیبا را برای کودک خود تضمین کنید 

پرکردگی تا زمان افتادن طبیعی دندان شیری دوام مناسبی خواهد داشت.

از یک سالگی یا پس از رویش اولین دندان شیری توصیه می شود.

در اغلب موارد خیر ،حفظ دندان شیری برای رشد صحیح دندان دائمی مهم است.