درمان تحلیل لثه در آزادگان کرج

فهرست مطالب درمان تحلیل لثه در آزادگان کرج اگر ساکن آزادگان کرج هستید و با مشکل تحلیل لثه روبهرو شدید، فهمیدن دقیق وضعیت و مسیر درمان میتواند آرامش خیال ایجاد کند. ما در این مقاله به شما کمک میکنیم تا تشخیص، گزینههای درمانی و نکات نگهداری طولانیمدت را بشناسید. همچنین بهطور ویژه به موضوع جراحی […]
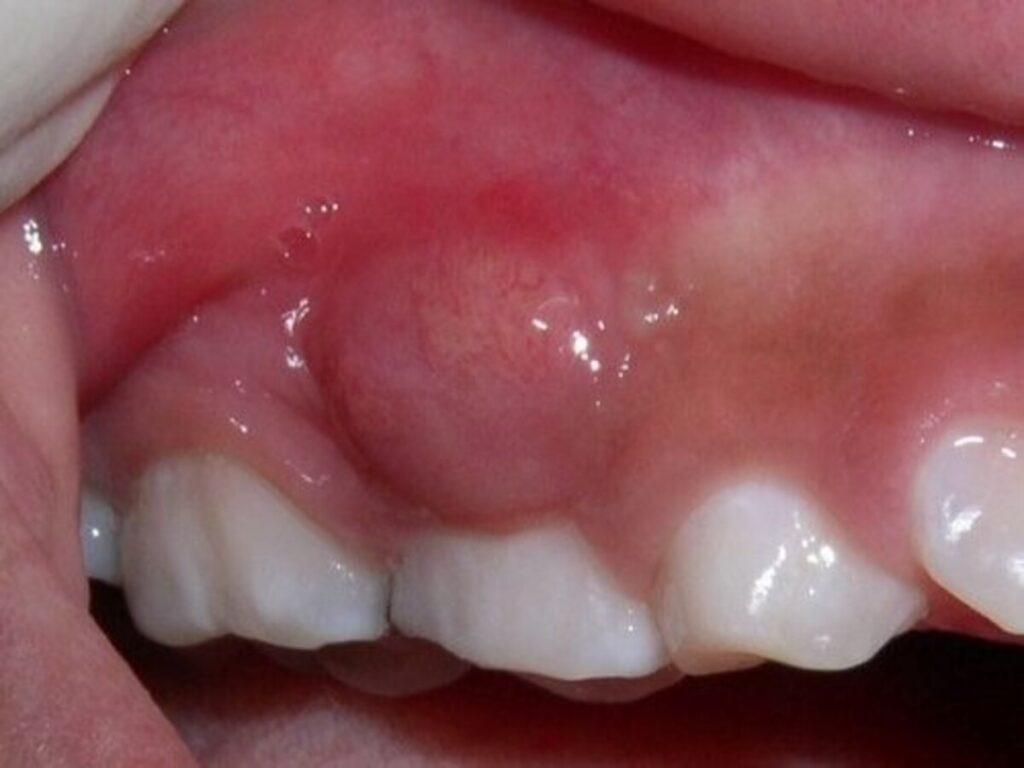
رفع عفونت لثه در کرج

فهرست مطالب عفونت لثه یکی از بارزترین مشکلات دهان و دندان است که بی توجهی به آن میتواند باعث تحلیل لثه و لق شدن دندان ها و حتی از دست دادن دندان ها نیز میشود ،امروزه با پیشرفت های دندان پزشکی رفع عفونت لثه در کرج با روش های موثر و مدرن انجام می گردد […]
جراحی زیبایی لثه

جراحی زیبایی لثه که در اصطلاح به ان جینجیووپلاستی یا در اصلاح طرح لبخد می گویند. عملی است که با هدف بهبود اصلاح زیبایی و ظاهر لثهها و ایجاد تناسب بین لثه، دندان و لبها انجام میشود. ای جراحی معمولا برای کسای تاثیر دارد که در زمان خندیدن قسمت زیادی از لثه شان مشخص می […]